EM365 Medical Check-up
종합검진프로그램

ABOUT CLINIC
개인형 맞춤 검진으로 원인부터 솔루션 제공까지 여러분의 평생 건강을 책임집니다.
용인이엠365는 질병의 발견 및 치료를 넘어 다양한 검사들과 헬스 케어 시스템을 통해 건강을 즐겁게 관리할 수 있도록 해드립니다.
Emergency Medical Treatment
응급의학과 진료분야
-
1
종합건강검진
-
2
내시경
-
3
초음파
-
4
영양수액
-
5
당뇨 고혈압
-
6
예방접종
EM 365 Medical Point
왜 용인이엠365 일까요?
-
01
365일 언제든
건강검진 가능매일 09:00 ~ 14:00까지 건강검진 가능합니다.
-
02
분당차병원 소화기내과
펠로우 출신여성 검진은 여의사에게 직접 받으실 수 있습니다. (위, 대장내시경, 간, 유방암, 자궁경부암 검진)
-
03
대학병원급 검사장비 도입
높은 진단 효율을 자랑하는 삼성 초음파, 최상위 내시경, 골밀도 검사기 등이 있습니다.
-
04
통증 없고 안전한 내시경 검사
풍부한 경험과 노하우로 안전하고
빠른 내시경 검사를 받아보실 수 있습니다.
- 검진상담 및 문의
- 070.8820.2972
경기도 용인시 기흥구 서천로 127번길 11-4
블리스타워서천 3층~5층
층별안내
- 5층
- 인공신장실 · 비만클리닉 · 도수물리치료실
- 4층
- 아동심리발달클리닉
- 3층
- 외래진료실 · 검진센터 · 손발톱클리닉
Silver 패키지
35만원
위 내시경과 상복부 초음파를 통해 핵심 장기들을 살펴보고,
기본적인 건강 상태를 확인할 수 있는 검진
프로그램입니다.
| 구분 | 남성 | 여성 |
|---|---|---|
| 기초검사 | 신체계측, 시력, 청력, 혈압, 흉부 X-선 촬영 | |
| 혈액검사 | 간기능, 심혈관, 고지혈, 혈당/췌장, 신장, 전해질, 빈혈, 갑상선기능, 비타민D, 성매개, 간염, 관절염, 통풍, 혈액형, 소변, 호르몬, 종양표지자 검사 |
|
| 심혈관계 | 심전도 | |
| 소화기계 | 수면 위내시경, 복부 초음파 | |
| 골밀도검사 | 골밀도검사 | |
Silver Package
이런분들께 추천드립니다.
-
20세 이상 성인에게 가장 기본적인 종합검진입니다.
-
종합검진 항목 중 건강검진의 기본 항목이 포함된 검진입니다.
-
모든 연령대가 이용할 수 있습니다.

Gold 패키지
남: 50만원 / 여: 52만원
내시경, 초음파로 주요 장기를 검사할 수 있으며 의심스러운 부분을 집중 검사할 수 있습니다.
실버 프로그램에서 검사를 추가한 업그레이드 프로그램입니다.
| 구분 | 남성 | 여성 |
|---|---|---|
| 기초검사 | 신체계측, 시력, 청력, 혈압, 흉부 X-선 촬영 | |
| 혈액검사 | 간기능, 심혈관, 고지혈, 혈당/췌장, 신장, 전해질, 빈혈, 갑상선기능, 비타민D, 성매개, 간염, 관절염, 통풍, 혈액형, 소변, 호르몬, 종양표지자 검사 |
|
| 심혈관계 | 심전도 | |
| 소화기계 | 수면 위내시경, 헬리코박터균 검사, 수면 대장내시경, 복부 초음파 | |
| 골밀도검사 | 골밀도검사 | |
| 영양수액 | 비타민 영양 수액 (15분 비타민 충전) | |
| 남 · 여검사 | 전립선 초음파 | 유방촬영, 자궁경부암 검사 |
Gold Package
이런분들께 추천드립니다.
-
20세 이상 모든 연령대 고객에게 적합한 항목으로 구성되어 있습니다.
-
건강검진 기본 패키지에 추가로 대장내시경, 초음파, NK 면역 세포검사 등을 선택하실 수 있습니다.
-
각종 질병예방 및 조기진단을 목적으로 건강유지에 필요한 기본적인 검진입니다.

VIP 패키지
남: 65만원 / 여: 67만원
골드 프로그램에서 선택 검사의 수가 확대되어
좀 더 세부 검사가 가능한 업그레이드 프로그램입니다.
| 구분 | 남성 | 여성 |
|---|---|---|
| 기초검사 | 신체계측, 시력, 청력, 혈압, 흉부 X-선 촬영 | |
| 혈액검사 | 간기능, 심혈관, 고지혈, 혈당/췌장, 신장, 전해질, 빈혈, 갑상선기능, 비타민D, 성매개, 간염, 관절염, 통풍, 혈액형, 소변, 호르몬, 종양표지자 검사 |
|
| 심혈관계 | 심전도 | |
| 소화기계 | 수면 위내시경, 헬리코박터균 검사, 수면 대장내시경, 복부 초음파 | |
| 골밀도검사 | 골밀도검사 | |
| 영양수액 | 비타민 영양 수액 (15분 비타민 충전) | |
| 남 · 여검사 | 전립선 초음파 | 유방촬영, 자궁경부암 검사 |
| 선택검사 (택1) | NK 면역 세포 검사 or 고압산소 1시간 예약권 | |
| 선택검사 (택1) | 갑상선 초음파 + 경동맥 초음파 or 유전자 검사 (남성암 7종 II) or MAST 검사 (알러지검사) |
갑상선 초음파 + 경동맥 초음파 or 유전자 검사 (여성암 7종 I) or MAST 검사 (알러지검사) |
VIP Package
이런분들께 추천드립니다.
-
20대 이상 모든 연령대에서 이용가능한 검진입니다.
-
초음파검사, NK면역세포 검사 등을 추가하여 각종 종양을 조기에 진단하기 위한 40~50대를 위해 특화된 검진입니다.
-
대장내시경을 포함해서 종합검진 항목을 원하시는 분을 위한 패키지입니다.

프리미엄 패키지
남: 97만원 / 여: 99만원
VIP 패키지 프로그램에 유전자 27종 검사, 아미노산 비타민 수액 등이 추가된
유전자적 질환을 예측하고 조기에 암을 진단하는 프로그램입니다.
| 구분 | 남성 | 여성 |
|---|---|---|
| 기초검사 | 신체계측, 시력, 청력, 혈압, 흉부 X-선 촬영 | |
| 혈액검사 | 간기능, 심혈관, 고지혈, 혈당/췌장, 신장, 전해질, 빈혈, 갑상선기능, 비타민D, 성매개, 간염, 관절염, 통풍, 혈액형, 소변, 호르몬, 종양표지자 검사 |
|
| 심혈관계 | 심전도 | |
| 소화기계 | 수면 위내시경, 헬리코박터균 검사, 수면 대장내시경, 복부 초음파 | |
| 골밀도검사 | 골밀도검사 | |
| 영양수액 | 아미노산 비타민 수액 | |
| 남 · 여검사 | 전립선 초음파 | 유방촬영, 자궁경부암 검사 |
| 유전자 검사 | 유전자 26종 검사 | 유전자 27종 검사 |
| 선택검사 (택1) | NK 면역 세포 검사 or 고압산소 1시간 예약권 | |
| 선택검사 (택1) | 갑상선 초음파 + 경동맥 초음파 or MAST 검사 (알러지검사) | |
Premium Package
이런분들께 추천드립니다.
-
20대 이상 모든 연령대에서 이용가능한 검진입니다.
-
VIP 패키지 프로그램에 26종의 암과 만성질환을 포함한 유전자 검사와 초음파 검사, MAST 알러지 검사, 고영양 수액 등을 추가하여 개개인의 유전자적 질환을 예측하고 조기에 암을 진단하기 위한 20대 이상을 모든 연령대를 위해 특화된 검진입니다.

Medical Check-up
검진 진행 과정
-
01
검진 상담 및 프로그램 선택
개인별 꼭 필요한 검진 항목을 선택하고 예약을 진행합니다.
-
02
검사 당일, 문진표 작성 및 상담
병원에 방문하셔서 문진표 작성 후, 검사 진행 과정을 안내해 드립니다.
-
03
개인별 항목에 따른 검사 진행
탈의실에서 환복 후, 검사 항목에 따라 검사를 받게 됩니다.
-
04
문진 및 결과 상담
의료진 상담 후 귀가하시고, 1주일 뒤에 검사 결과지를 받으실 수 있습니다.
-
05
결과에 따른 추가 검사 및 외래 진료와 관리
검사 결과에 따라 추가 검사가 필요한 경우 1주일 뒤 방문 상담을 진행하며 내과 진료와 건강 관리까지 한 번에 받으실 수 있습니다.





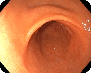
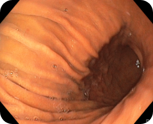
Endoscopic Diagnostic Pictures
내시경 진단 사진
실제 병원에서 시행한 내시경 암 진단 케이스입니다.
정상 위내시경 사진
초기 위암 위내시경 사진
진행성 위암 위내시경 사진
대장암 대장내시경 사진















